Sauter au contenu principal de la page
Logo Handfacts

Chirurgie de la Main

Chirurgie de la main.
Une discipline médicale reine.

Quand la main est un problème

Maladies et Blessures de la Main

Vidéo en allemand: Die verletzte Hand © GesundheitHeute
Vidéo en allemand: Karpaltunnelsydrom © SRF Puls
Vidéo en allemand: Knochenbruch © SRF Puls
Vidéo en allemand: Nachwachsende Fingerglieder © SRF Puls

L’extrême importance de la main ne nous apparaît souvent que lorsque son fonctionnement est impacté par une maladie ou une blessure. 
Problèmes fréquents de la main: 

Rheumatoide Arthritis
Polyarthrite rhumatoïde

Arthrite

Inflammation des articulations

L’arthrite est une inflammation de l’articulation. La main est, avec ses 36 articulations, fréquemment touchée par cette pathologie. Les symptômes typiques sont des douleurs, un gonflement, une rougeur, une sensation de chaleur excessive et une fonction limitée. Les causes d’une arthrite peuvent être une infection, une maladie impliquant le dépôt de cristaux (la goutte par ex.) ou une maladie auto-immune (comme la polyarthrite rhumatoïde, «rhumathismes»). L’arthrite s‘attaque au cartilage et peut, sans traitement adéquat, très vite détruire l’articulation. En cas d’arthrite infectieuse (généralement d’origine bactérielle), il s’agit de retirer de la façon la plus rapide et la plus complète possible, par voie chirurgicale, le pus présent dans l‘articulation. Le traitement adjuvant se fait par voie médicamenteuse, à l’aide d’antibiotiques. Lors d’une arthrite rhumatoïde, de même que pour une maladie avec dépôts de cristaux, il est d’abord tenté un traitement médicamenteux. En cas d’échec de traitement, on peut recourir à l’ablation chirurgicale de la membrane synoviale inflammée. Si l’articulation est trop endommagée, il faut alors renforcer l’articulation ou utiliser une articulation artificielle (prothèse).

 

Arthrose trapézo-métacarpienne (rhizarthrose)
Arthrose trapézo-métacarpienne (rhizarthrose)

Arthrose

Usure des articulations

L’usure du cartilage d’une articulation, l’arthrose, est la manifestation d’une abrasion. Celle-ci entraîne des douleurs chroniques et une mobilité réduite de l’articulation touchée. Les causes de la dégénérescence du cartilage sont multiples. Il s’agit le plus souvent d’une usure liée à l’âge. Toutefois, un traumatisme tel que fracture antérieure de l’articulation ou lésion ligamentaire avec instabilité chronique de l’articulation peuvent générer une arthrose précoce. Il n’est alors pas rare que des personnes encore jeunes soient touchées. L’hérédité joue également un rôle. L’arthrose affectant la base du pouce (rhizarthrose) est l’atteinte dégénérative la plus fréquente de la main. De même, l’arthrose se manifeste souvent aux articulations intermédiaires et terminales des doigts (arthrose d’Heberden et de Bouchard). Il peut être tenté, dans un premier temps, de soulager les symptômes via l’infiltration ciblée d’un produit à base de cortisone dans l’articulation atteinte. En cas de symptômes récurrents, l’intervention chirurgicale devient nécessaire. Il s’agit soit de renforcer l’articulation (notamment pour les articulations finales) ou de la retirer pour procéder à ce que l’on nomme une interposition tendineuse ou implantation de prothèse.

 

Pouce du skieur
Déchirure du ligament

Lésions ligamentaires

Pouce du skieur

L’étirement excessif des ligaments, lors d’une chute ou d’une distorsion par exemple, peut induire une élongation ou une rupture des ligaments. Une lésion ligamentaire fréquente de la main est la rupture du ligament latéral interne du pouce, aussi nommée «pouce du skieur». Le pouce dévie trop fortement vers l’extérieur et le ligament latéral interne se déchire. Une intervention chirurgicale est alors souvent nécessaire pour réparer le ligament latéral, dont le rôle déterminant est déterminant pour la stabilité de la base du pouce.

Mauvais alignement suite à une fracture

Un mauvais alignement peut résulter d’une fracture osseuse. Des os mal alignés peuvent induire des limitations fonctionnelles, notamment s’il s’agit de fractures articulaires mal consolidées. En principe, tous les os de la main peuvent être touchés. L’exemple le plus fréquent est un radius trop court suite à la mauvaise consolidation d’une fracture du poignet. Cela peut se traduire par une perte de mobilité douloureuse de l’extrémité distale du radius au niveau de l’articulation avec le cubitus. Le cubitus peut alors par exemple être raccourci par intervention chirurgicale, afin de limiter les symptômes.

Contracture de Dupuytren

Contracture de Dupuytren

Maladie de Dupuytren

Il s’agit ici d’un processus pathologique se traduisant par une fibrose rétractile du tissu compris entre la peau et les tendons (téguments, fascias) au niveau de la paume de la main. Il se forme alors un épaississement de la zone concernée formant des nodules ou des brides, via la multiplication des cellules de tissu conjonctif. En cas de patholgie avancée, il peut survenir une perte de mobilité au niveau des articulations de base et médianes. Les doigts les plus souvent atteints sont l’auriculaire, suivi par l’annulaire et le pouce. L’homme est plus souvent touché que la femme. Au niveau thérapeutique, il peut être envisagé l’infiltration d’enzymes spécifiques complétée par une «fragilisation» ou l’ablation chirurgicale des cordes.

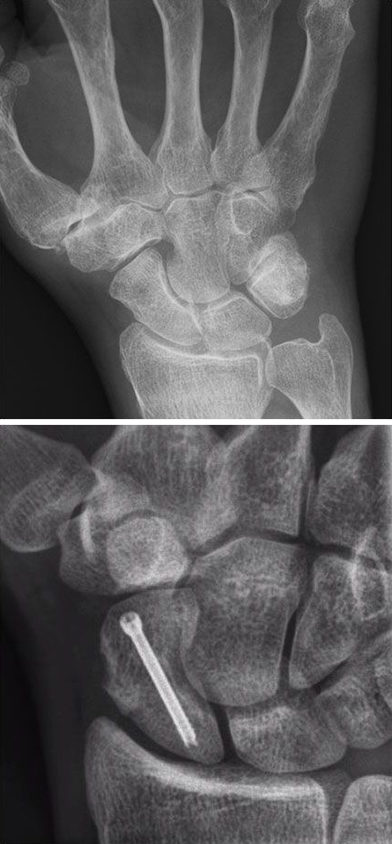
Versorgte Kahnbeinfraktur, Mittelhandknochenfraktur
Fracture de l'os scaphoïde, fracture du métacarpe

Fracture

Fracture osseuse

La fracture est une fracture osseuse, qui peut intervenir à un ou plusieurs endroits de l’os, avec ou sans déplacement (dislocation) de fragments osseux.
Les fractures de la main, resp. des doigts, comptent parmi les fractures osseuses les plus fréquentes et la fracture du radius distal (fracture du poignet) est celle qui survient le plus souvent chez l’homme. Selon l’importance du déplacement osseux et si une articulation est touchée, une stabilisation chirurgicale peut être nécessaire. En fonction du type de fracture, elle se fera à l’aide de vis et/ou de plaques, ou par coelioscopie, en insérant câble metallique ou vis via de toutes petites incisions.
Vidéo (en allemand) Knochenbruch © SRF Puls

Kyste synovial du poignet
Kyste synovial du poignet

Ganglion

Kyste synovial

Le ganglion est l’une des explications les plus fréquentes d’une petite boule, souple à dure, au niveau de la main ou du poignet. Un ganglion est une enflure bénigne des tissus mous, qui correspond à un kyste rempli de liquide articulaire ou synovial. Celui-ci se forme suite à une situation de surpression sur un point faible au niveau d’une capsule articulaire ou d’une gaine tendineuse. Les ganglions se situent le plus souvent sur la surface dorsale du poignet. Un ganglion peut être inesthétique, mais aussi induire, par irritation mécanique, douleurs ou perte de mobilité de l’articulation concernée. Du point de vue thérapeutique, il peut d’abord être envisagé des traitements conservateurs, comme l’ergothérapie. L’ablation chirurgicale peut également s’avérer nécessaire en cas de persistance des sympôtmes.

Lésions vasculaires

Les vaisseaux sanguins du corps humain comprennent les veines et les artères et servent au transport du sang et des nutriments dans l’organisme. Tandis que les artères conduisent le sang chargé en oxygène vers les organes, les veines sont chargées de ramener le sang désaturé en oxygène. La main est alimentée par deux artères principales, l’artère cubitale et l’artère radiale. Coupures, piqûres, étirements et écrasements peuvent endommager les vaisseaux et interrompre l’irrigation sanguine. Si la circulation sanguine d’un doigt, voire de la main est menacée, il faut la rétablir aussi vite que possible ou remettre en marche le flux artériel en utilisant de longs pontages veineux.

Inflammation des capsules articulaires

Synovite

Il s’agit d’une inflammation aigüe ou chronique de la couche interne de la capsule articulaire,  nommée muqueuse articulaire. Au niveau de la main, la synovite peut provoquer des douleurs dans les doigts, par ex. du fait de l’hyperextension d’une ou plusieurs articulations, et dans le poignet.

Ganglion intra-osseux

Kyste osseux

Ces ganglions sont des structures kystiques bénignes, remplies de liquide gélatineux et se situent la plupart du temps sur l’extérieur de l’os. Un ganglion intra-osseux est un ganglion se situant à l’intérieur de l’os. Celui-ci peut se former par ex. dans les os du carpe – scaphoïde ou semi-lunaire, ou des doigts.

Tunnel carpien
Tunnel carpien

Syndrome du tunnel carpien

Carpal-Tunnel-Syndrom CTS

Les fourmillements permanents de la main indiquent que le nerf médian, responsable, qui est responsable de la sensibilité du pouce, de l’index, du majeur et de la moitié de l’annulaire, manque de place. Cela peut induire un trouble d’irrigation du nerf et donc une limitation de la fonction des doigts. Cette pathologie est fréquente chez les personnes âgées.
Vidéo (en allemand) Karpaltunnelsyndrom © SRF Puls

Enchondrom
Enchondrome

Tumeur osseuse

Enchondrome, Ostéochondrome, Ostéosarcome

Il s’agit d’une enflure de l’os, une tumeur, de forme bénigne ou maligne. Alors que les tumeurs osseuses primitives trouvent leur origine dans les os, les tumeurs osseuses secondaires sont les tumeurs filles (métastases) d’autres tumeurs malignes. La plus fréquemment observée au niveau de la main est l’enchondrome. Il s’agit d’une tumeur bénigne qui affecte le plus souvent les phalanges ou l’un des cinq métacarpiens.

Nervus ulnaris

Syndrome du tunnel cubital

Neuropathie ulnaire

Il s’agit d’une compression/d’un blocage du nerf au niveau du coude: le nerf du coude passe par le tunnel cubital (sulcus ulnaris) et longe une saillie osseuse à l’intérieur du coude, nommée familièrement le «petit juif». Non protégé, il est exposé aux blessures. Quand le nerf du coude est coincé ou qu’il est comprimé, on parle de syndrome du tunnel cubital ou syndrome «Sulcus ulnaris».Les symptômes sont un trouble sensitif au niveau de l’auriculaire et de l’annulaire, mais aussi des douleurs et une hypersensibilité du côté interne du coude. Le traitement consiste à libérer le nerf par une intervention chirurgicale ouverte ou sous endoscopie.

Syndrome de la loge de Guyon

Syndrome de la loge de Guyon

Neuropathie compressive du nerf

Lésion du nerf sur le côté du poignet, côté auriculaire (ulnaire). Elle s’accompagne de troubles de la sensibilité et d’une paralysie des muscles de la main et des doigts. La cause est un rétrécissement entre deux os du carpe qui génère une pression sur le nerf du coude. Ce syndrome de compression du nerf est rare et induit des douleurs similaires à celles du syndrome du tunnel cubital. Ces deux syndromes peuvent se manifester en parallèle. Le traitement consiste en une libération chirurgicale du nerf.

Nécrose du semi-lunaire

«Mort» du semi-lunaire

Trouble de l’irrigation sanguine du semi-lunaire, qui provoque la mort de l’os. Le semi-lunaire (lunatum) est l’un des huit os du carpe et forme, avec l’os scaphoïde, l’articulation du carpe avec le radius de l’avant-bras.

Contracture cicatricielle

Contraction des tissus

Elle survient quand le tissu cicatriciel se rétracte, perd de son élasticité, et donc qu’il se contracte, durcit et engendre une perte de mobilité. Les contractures cicatricielles sont fréquentes après les inflammations, lésions cutanées et blessures des tissus mous, ou encore les brûlures. La face interne de la main ou des doigts est particulièrement sujette aux problèmes de cicatrisation.

Lésion nerveuse

Les nerfs sont des voies sensorielles ramifiées. Ils se composent de fibres nerveuses,  responsables de la fonction motrice des muscles d’une part, et de la sensibilité d’une zone cutanée d’autre part. En cas de lésion nerveuse, la transmission des stimulis moteurs et sensoriels est perturbée, voire bloquée. Les causes peuvent être une élongation, un écrasement, une déchirure ou un arrachement partiel ou complet. Rétablir la fonction nerveuse requiert de recoudre immédiatement le tissu conjonctif (ou épinièvre) pour guider les nouvelles fibres nerveuses en formation dans la bonne direction.
Vidéo (en allemand) Die verletzte Hand © GesundheitHeute 2021

Syndrome du pronator teres

Syndrome de compression nerveuse

Elle touche une partie du nerf médian (nervus medianus). Celui-ci compresse fortement le muscle rond pronateur (fléchisseur) situé sur la face antérieure de l’avant-bras. Du fait de son mouvement rotatif, le muscle peut se retrouver comme ligaturé par le nerf. On citera en outre, entre autres causes, un claquage musculaire, un hématome ou une importante charge physique unilatérale de longue de durée. La ligature du nerf médian provoque des symptômes similaires à ceux du syndrome du tunnel carpien. Le traitement chirurgical consiste à libérer de nerf dans la zone concernée.

Pseudarthrose

Il s’agir d’une fausse articulation, resp. de l’apparition d’une pseudo-articulation après une fracture osseuse, suite à laquelle l’os cassé ne guérit pas, ce qui entraîne la formation de tissu mou entre les extrémités osseuses et empêche ainsi l’os de se reconstituer. La pseudoarthrose peut, en principe, survenir après toute fracture osseuse. Il n’est pas rare qu’elle soit liée à une fracture disloquée du scaphoïde (qui peut parfois rester ignorée et donc, non traitée). Il peut en résulter des douleurs chroniques et une perte de mobilité. Le traitement peut se faire par ablation chirurgicale du tissu mou entre les fragments osseux, que l’on remplace par de l’os autologue prélevé au niveau de la crête iliaque.

Tendinite

Tendovaginite

Les tendons sont un tissu conjonctif et font partie des muscles. L’inflammation douloureuse d’un tendon et de sa gaine synoviale s’accompagne de douleurs, de gonflements et de chaleur excessive, et parfois une sensation de frottement des tendons. Elle est fréquente chez la femme de 30 à 50 ans. Les causes peuvent être des mouvements répétitifs des mains, une grossesse ou une polyarthrite rhumatoïde. L’une des formes typiques est la tendovaginite De Quervain au niveau du tendon extenseur du pouce. On peut ici recourir à l’ergothérapie, associée, le cas échéant, à des infiltrations locales de corticoïdes. En cas de persistence des symptômes, on libère les tendons par voie chirurgicale.

Lésion tendineuse

Les tendons sont formés de tissu conjonctif et dans une faible mesure, de nerfs et de vaisseaux. Ils font partie des muscles et font la connexion entre muscles et os. En cas de contractions saccadées d’un muscle, lors d’une séance de musculation par ex., ou de sursollicitation d’un tendon, celui-ci peut se déchirer partiellement ou entièrement. De même, les tendons peuvent être sectionnés lors d’une coupure ou être abîmés lors d’une fracture osseuse. En cas de coupure, on tente de recoudre directement le tendon. En présence d’une rupture tendineuse fermée, qui peut parfois remonter à longtemps, on peut recourir à ce que l’on nomme un transfert de tendon. Il s’agit ici de coudre sur le tendon déchiré un faisceau accessoire d’un tendon voisin.

Doigt à ressaut

Doigt à ressaut

Tendovaginite sténosante

Un doigt à ressaut (ou doigt à ressort) est provoqué par une inflammation de la gaine synoviale ou du tissu péritendineux. C’est l’une des affections resp. modifications les plus fréquentes de la main. Tous les doigts peuvent être atteints. L’épaississement du tendon provoqué par l’inflammation forme une sorte de nodule qui se coince au niveau de la poulie annulaire lors de l’extension du doigt, le maintenant ainsi en position fléchie. Le traitement se fait d’abord par anti-inflammatoire, via une infiltration locale de corticoïdes. Sans amélioration, on recourt à une intervention chirurgicale pour élargir la poulie et faciliter le passage du tendon.

Syndrome du canal supinateur

Il s’agit d’un syndrome de compression nerveuse à proximité du coude dans l’avant-bras. Comme pour le tennis elbow, des douleurs à la palpation se manifestent dans la région du coude et sur la face externe de l’avant-bras. Les symptômes proviennent de la compression du canal radial dans le muscle supinateur. Il en résulte une moins bonne extension des doigts, voire une paralysie de l’extension des doigts. Comme dans tout syndrome de compression nerveuse, le traitement consiste en une opération chirurgicale qui libère le nerf atteint.

Tennis elbow et coude du golfeur

Les sursollicitations unilatérales et répétées de l’avant-bras peuvent induire des douleurs inflammatoires typiques. Dans le cas du tennis elbow (épicondylite latérale), les douleurs viennent d’une atteinte des muscles, et plus particulièrement des tendons de l’avant-bras au niveau de leur insertion, suite à un surmenage des muscles extenseurs du poignet, tandis que dans le coude du golfeur (épicondylite médiale), c’est la partie interne de la musculature du coude qui est touchée, conséquence d’un surmenage des muscles fléchisseurs du poignet. On privilégie dans un premier temps un traitement conservateur, avec des mesures physiothérapeutiques intensives et des médicaments anti-inflammatoires. Si les douleurs persistent, il peut être pratiqué une intervention chirurgicale pour éliminer le tissu inflammé et désactiver les fibres nerveuses douloureuses (dénervation).

Brûlures

Il s’agit d’une lésion des tissus provoquée par une surexposition à la chaleur, que ce soit par le biais de flammes, de vapeur, de gaz ou de liquides chauds (ébouilantage). En fonction du temps d’exposition et de la température, les lésions seront plus ou moins profondes et affecteront l’épiderme, le derme, voire les fascias, les muscles, les nerfs, les tendons et les vaisseaux de la zone brûlée. Compte tenu des étroites interactions anatomiques, brûlure et ébouillantage de la main peuvent générer de graves limitations fonctionnelles.

Syndrome de Wartenberg

Il s’agit d’un syndrome de compression nerveuse. Comme le syndrome du canal supinateur, il survient une compression de la branche sensitive du nerf radial  (nervus radialis) dans l’avant-bras. Une pression exercée sur ce nerf au-dessus du poignet, du fait par ex. du port d’une montre ou lors d’activités sollicitant le poignet, peut induire des douleurs et des troubles sensitifs sur le dos de la main, au niveau du poignet, qui affectent le pouce, l’index et une partie de l’annulaire.

SOURCES

  • Hôpital cantonal Winterthur, www.ksw.ch
  • Hôpital cantonal Aarau, www.ksa.ch
  • Schulthess Clinique, www.schulthess-klinik.ch
  • Clinique universitaire Balgrist, www.balgrist.ch